Le tiers inférieur du visage, avec particulièrement les dents et la bouche, constitue un élément important pour le regard d'autrui.
Fiches conseils - Page 8
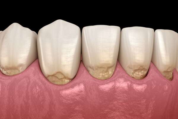
La mylolyse ou lésion cervicale d’usure se définit comme une perte de matière dentaire se localisant au collet de la dent.
Un kyste dentaire se présente en général sous la forme d’une masse arrondie ou ovale située à la racine de la dent.
L’endodontie s’attache à la prévention, au diagnostic et au traitement des maladies de la pulpe dentaire.
Une dent dévitalisée et soignée peut s’infecter et nécessiter une reprise du traitement de la racine ou « retraitement endodontique ».
Les personnes atteintes de diabète ont un risque accru de développer les premiers stades de
la maladie parodontale. Quelles sont les précautions à prendre ?





